目の周りの湿疹に対して使われる眼軟膏というものがあります。
今回はその中でもネオメドロールEEという軟膏のお話です。
この軟膏、眼科の先生や皮膚科先生方が利用することがあります。
まぶたの皮膚は弱い
まぶたの皮膚は薄くて弱く、手や足の皮膚よりはるかに腫れやすい上に、目立ちやすいところでもあります。
まぶたには接触性皮膚炎がよく起こります。手でまぶたを触わることによっておこることもあります。接触性皮膚炎を防ぐには手洗いはとても大切です。
眼軟膏にはフラジオマイシンという抗生剤が配合されております。
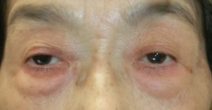
ネオメドロールEE眼軟膏による接触眼瞼皮膚炎
ネオメドロールEE眼軟膏によって、写真に示すような眼瞼皮膚炎が遷延しているケースは少なくありません。
眼軟膏使用しても、ちっとも治らないという時は、薬が原因のことがあります。


